You may wonder why some dental implants last for years while others fail early. The answer often comes down to the strength of your jawbone. Dentists look closely at bone density because it plays a direct role in how well an implant stays in place.
Your implant success depends on having enough dense, healthy bone for the implant to bond and stay stable over time. When bone is too soft or thin, the implant may not hold under daily chewing. That is why dentists measure bone density before they plan treatment.
You will learn the bone density requirements for dental implants, how dentists assess bone strength, what different density levels mean, and the options available if bone loss is present.
This knowledge helps you feel more confident about your dental implant plan and long-term results.
Key Takeaways
- Bone density plays a major role in dental implant success.
- Dentists measure bone strength with exams and dental imaging.
- Treatments can improve bone health before placing implants.
Why Bone Density Levels Matter for Dental Implants
Bone density affects how well your jawbone can hold and protect a dental implant. It shapes implant stability, supports healing, and lowers the risk of long-term problems like implant loosening or bone loss.
Impact of Bone Density on Implant Stability
Bone density plays a direct role in how stable your dental implant feels from day one. Dense bone grips the implant threads more firmly during placement. This grip helps reduce movement while your jawbone heals.
When bone density runs low, the implant may not lock in as well. That raises the risk of early implant movement, which dentists call poor primary stability. Movement at this stage can delay healing or cause implant failure.
Dentists often review bone scans to check whether your jawbone meets common bone density requirements for dental implants. These measurements guide choices like implant size, placement angle, or the need for added support.
What stable bone helps prevent:
- Implant loosening
- Pain during healing
- Delays in placing the crown
Role in Osseointegration and Bone Support
Osseointegration means your jawbone grows and bonds directly to the implant surface. Strong bone density supports this process by giving bone cells a solid structure to grow into.
If bone density stays healthy, the implant gains long-term bone support. That support helps the implant handle daily forces from chewing and speaking. Over time, this bond keeps the implant steady and comfortable.
Lower bone density can slow or weaken osseointegration. Studies on age and bone density show higher early failure rates when bone quality drops, especially in older adults receiving implants, as reported in research on age-related bone density and implant stability.
Risks of Low Bone Density: Implant Failure and Bone Loss
Low bone density raises the chance of implant failure, especially in the first six months. The jawbone may not provide enough support to keep the implant stable during healing.
Bone loss can also continue after placement. When bone does not adapt well to the implant, it may shrink away from the surface. This loss weakens support and increases the risk of infection.
Dentists may suggest grafting or other treatments when scans show low density. Many implant guides explain why bone density matters for dental implants and how planning reduces these risks.
Common risks tied to low bone density:
| Risk | Why It Happens |
| Implant failure | Poor early stability |
| Bone loss | Weak bone response |
| Infection | Gaps around implant |
How Dentists Measure and Classify Bone Density
Dentists rely on imaging and density scales to judge how well your jawbone can hold an implant. These tools show bone strength, structure, and thickness so your dentist can plan implant size, position, and timing with more precision.

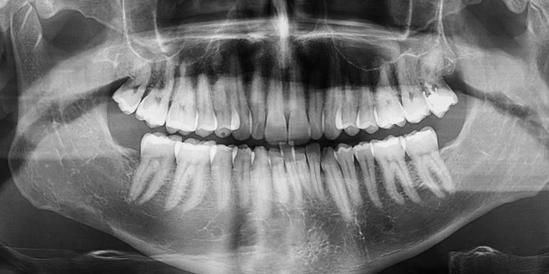
Diagnostic Tools: CBCT, CT, and X-Rays
Dentists use several imaging tools to measure bone density, but they do not all show the same level of detail. Dental cone beam computed tomography (CBCT) has become the most common option for implant planning. CBCT scans create 3D imaging of your jaw with low radiation and high detail.
Traditional computed tomography (CT scans) also provide 3D scans and accurate density data, but they expose you to more radiation and cost more. Dentists now reserve CT for complex cases.
Panoramic X-rays and standard X-rays show bone height and anatomy, but they cannot measure bone density well. They help with screening, not final implant decisions.
CBCT works best because it shows bone shape, volume, and internal structure in one scan.
Schedule a consultation with Minot Dental Partners in Minot, ND. Our team uses advanced imaging to evaluate bone density and recommend the safest treatment plan for your smile.
Understanding Hounsfield Units and Grayscale Values
Bone density measurements depend on how imaging systems record tissue strength. CT scans use Hounsfield units (HU), which assign numeric values to bone density. Higher Hounsfield units mean denser bone.
CBCT scans use grayscale values (GV) instead of Hounsfield units. Grayscale values still reflect bone density, but they vary by machine and settings. Dentists focus on patterns and relative strength rather than exact numbers.
Research using CBCT shows that higher cancellous bone density links to better implant survival, while low density raises failure risk, as explained in studies on bone density and implant success.
Dentists combine these values with visual bone structure to make safe decisions.
Bone Quality Classification: D1, D2, D3, D4
Dentists often describe bone using a bone quality classification system from D1 to D4. This system helps predict implant stability.
| Bone Type | Density Level | Common Location | Implant Impact |
| D1 | Very dense | Anterior mandible | High stability, slower healing |
| D2 | Dense | Anterior mandible, maxilla | Ideal balance |
| D3 | Moderate | Posterior mandible | Needs careful planning |
| D4 | Low density | Posterior maxilla | Higher risk without grafting |
Studies show the anterior mandible has the highest bone density, while the posterior maxilla has the lowest, which affects implant strategy, as reported in CBCT research on jawbone density differences.
Methods of Bone Density Assessment
Dentists assess bone density using more than one method to improve accuracy. CBCT-based bone density assessment measures bone inside planned implant zones using defined regions of interest. These regions may include rectangular, cylindrical, or surrounding bone areas.
During surgery, some dentists also assess bone quality by feel and drilling resistance. Advanced clinics may use micromotor feedback systems, but imaging remains the primary guide.
Dentists combine imaging data, bone classification, and clinical judgment to choose implant size, placement angle, and healing time. This layered approach lowers risk and improves long-term implant stability.
Factors That Influence Jawbone Density
Your jawbone density depends on how your body builds and maintains bone tissue over time. Health conditions, oral habits, and daily choices all affect how strong your jawbone stays and how well it can support an implant.
Age, Genetics, and Medical Conditions
As you age, your body replaces bone tissue more slowly. This change can lower jawbone density, especially after midlife. Genetics also matter. If close family members have low bone mass, your risk rises.
Medical conditions can speed up bone loss. Osteoporosis weakens bones across the body, including the jawbone. Research shows a clear link between skeletal bone loss and jawbone density in implant planning, as explained in studies on osteoporosis and jawbone bone density.
Conditions like diabetes can also affect bone healing. Poor blood sugar control reduces bone strength and slows recovery after implant placement.
Key medical factors that affect jawbone density:
- Osteoporosis
- Diabetes
- Hormonal changes
- Family history of bone loss
Oral Health: Gum Disease and Tooth Loss
Your oral health plays a direct role in jawbone density. Periodontal disease, also called gum disease, causes bone loss around teeth. When infection stays active, it damages bone tissue that implants rely on for stability.
Tooth loss leads to bone shrinkage. The jawbone needs chewing force to stay strong. Without teeth, that stimulation fades, and bone density drops over time. This loss can begin within months.
Strong oral hygiene helps protect bone. Daily brushing, flossing, and regular dental cleanings lower the risk of gum disease. Dentists often stress the link between bone loss and implant outcomes, as outlined in guides on bone density and implant success.
Healthy gums support healthy bone. Treating gum disease early helps preserve jawbone structure.
Medication, Lifestyle, and Nutrition
Some medications affect jawbone density. Long-term use of corticosteroids can reduce bone strength. Bisphosphonates, used to treat osteoporosis, change how bone remodels and may affect implant planning. Your dentist reviews these details before treatment.
Lifestyle choices matter every day. Smoking reduces blood flow to bone tissue and slows healing. Low physical activity also weakens bones over time.

Nutrition plays a steady role. A balanced diet with calcium, vitamin D, and protein supports bone repair. Diets lacking these nutrients raise the risk of low jawbone density. Dentists often review diet and habits when judging implant readiness, as discussed in overviews of bone density requirements for dental implants.
Small daily choices can protect your jawbone for years.
Concerned about bone loss or implant eligibility? Visit Minot Dental Partners in Minot, ND to receive a full bone density assessment and expert guidance on same-day or traditional dental implants.
Treatment Options for Low Bone Density
Low bone density does not end your chances for tooth replacement. Dentists use proven treatments that rebuild bone, change implant placement, or adjust implant design to create stable support for dental restoration.
Bone Grafting and Bone Regeneration
Bone grafting adds volume and strength where bone loss limits implant support. Your dentist places graft material in weak areas to trigger bone regeneration over time. This process supports future implants and improves long-term stability.
Common graft types include allograft (donor bone) and xenograft (animal-based bone). Each option works as a scaffold while your body forms new bone. Healing often takes several months, but it can make implants possible when bone density starts too low.
Dentists often combine grafting with bone augmentation to reshape the jaw. Many patients with bone loss still qualify for implants after these steps, as explained in options for dental implants with bone loss.
What to know
- Healing time varies by graft size and location
- Good oral hygiene supports bone regeneration
- Grafts often pair with delayed implant placement
Sinus Lift and Alternative Implant Techniques
A sinus lift adds bone to the upper jaw when the sinus sits too close to implant sites. Your dentist gently lifts the sinus membrane and places bone graft material below it. This creates safe space for implants in the back upper jaw.
When grafting is not ideal, dentists may use alternative techniques. Zygomatic implants anchor into the cheekbone and bypass weak upper jaw bone. Subperiosteal implants rest on top of the jawbone under the gums, not inside the bone.
These options help patients with severe bone loss, as outlined in advanced implant solutions for low bone density.
Implant Design and Selection for Challenging Cases
Implant design matters when bone density is low. Dentists choose size, length, and shape based on how much bone you have and where it sits. This step plays a major role in implant success.
Short implants work well in shallow bone and reduce the need for grafting. Mini implants use a smaller diameter and fit narrow spaces. Surface texture also matters because rough surfaces can improve bone contact.
Dentists measure bone quality before treatment, as described in how bone density affects dental implants. Careful selection helps create stable tooth replacement even in difficult cases.
Maintaining and Improving Bone Health for Implant Success
Strong bone supports implant stability and long-term function. Daily nutrition, movement, and steady dental care all help protect bone mass before and after implant placement.
Role of Calcium and Vitamin D
Calcium builds bone strength, while vitamin D helps your body absorb calcium. Together, calcium and vitamin D support bone mass around implants and aid healing after surgery. Many dentists check these levels when bone density looks low, because nutrition affects how bone responds to implant dentistry.
You can get calcium from milk, yogurt, cheese, leafy greens, and fortified foods. Sunlight helps your body make vitamin D, and fatty fish and eggs add more. Some people need supplements, but only after a dental or medical review.
Daily focus
| Nutrient | Why it matters | Common foods |
| Calcium | Supports bone structure | Dairy, greens |
| Vitamin D | Improves calcium use | Sunlight, fish |
Dentists often stress bone health because low intake links to weaker support, as explained in how bone health impacts the success of dental implants.
Weight-Bearing Exercise and Healthy Habits
Weight-bearing exercise signals your body to keep bone strong. Walking, stair climbing, light jogging, and resistance training all count. These weight-bearing exercises help maintain bone mass in the jaw and the rest of your body.
Healthy habits matter just as much. Smoking slows healing and lowers bone strength. Excess alcohol interferes with calcium use. Good sleep supports bone repair, especially after surgery.
Helpful habits
- Walk 30 minutes most days
- Add light strength training 2–3 times a week
- Avoid tobacco
- Limit alcohol
Dentists see better outcomes when patients protect bone density, which supports stability, as shown in the role of bone density in successful dental implants.
Monitoring and Long-Term Care After Implant Placement
Aftercare protects your investment. Regular dental visits let your dentist track bone levels around the implant and spot early changes. X-rays help measure bone contact and detect loss before it affects function.
Daily dental care keeps inflammation low. Brush twice a day, clean between teeth, and follow implant-specific cleaning tips. Gum health supports bone health, so treat bleeding or swelling right away.
Ongoing care checklist
- Routine exams and imaging
- Professional cleanings
- At-home implant care tools
Long-term success depends on steady monitoring and smart aftercare that supports bone strength year after year.
Don’t let bone density concerns delay your smile restoration. Contact Minot Dental Partners today to explore solutions like bone grafting, advanced implant designs, and personalized care plans
Frequently Asked Questions
Dentists check your jawbone strength, shape, and volume before placing an implant. They use scans and clear measurements to lower the risk of failure and improve long-term stability.
How do dentists determine if my jawbone is suitable for dental implants?
Your dentist reviews detailed images of your jaw to see if it can support an implant. These images show bone height, width, and density.
Most clinics rely on 3D scans like CBCT to get precise data. This process helps avoid weak areas that could cause problems later, as explained in guides on how dentists measure bone density for dental implants.
What specific metrics are used to evaluate bone density for implants?
Dentists look at bone density levels and bone volume at the implant site. Density shows how strong the bone is, while volume shows how much bone is available.
They also review bone quality types, often grouped into D1 through D4 categories. These categories help guide implant design and placement, as outlined in bone density classifications for dental implants.
Can you explain the importance of bone density in the success of dental implants?
Bone density affects how well the implant bonds with your jaw. Stronger bone holds the implant steady during healing.
Low density can increase the risk of movement or failure. Studies on bone density and implant stability over time show that better density supports long-term success.
Are there any ways to improve my bone density before getting a dental implant?
Yes, dentists may suggest bone grafting to build up weak areas. This adds volume and improves support for the implant.
Lifestyle steps also help, such as good nutrition and managing medical conditions. Many clinics explain these options when discussing bone density and dental implant preparation.
What are the minimum bone density requirements for a successful dental implant?
There is no single number that fits everyone. Most dentists prefer denser bone types like D1 or D2 because they offer better initial stability.
Lower-density bone can still work with added planning or grafting. Articles on how much bone you need for dental implants explain these limits in practical terms.
How is bone quality assessed during the dental implant planning process?
Your dentist combines scan results with a physical exam of your mouth. This approach shows both bone strength and overall oral health.
They also review your health history and any bone-related conditions. Detailed planning methods appear in resources on bone density and implant eligibility factors.